100年我們家的故事,從南征北討的兩場婚禮開始:小蔓爸媽跟仔仔爸媽的婚禮。婚禮的喜氣洋洋、酒酣耳熱,加上資寶寶老師與同學們好久沒有大會合,大家都很開心。也看到仔仔爸媽在婚禮上分享懷了仔仔後的心情點滴,更是感染到幸福的氣氛。
![]()
![]()
過完農曆年,媽媽終於發現我的存在了!測驗過了很久,淡淡的第二條線才浮出來,到底是不是真的呢?
![]()
媽媽默默的將這隻驗孕棒放在洗手檯上,爸爸看了卻裝沒事一樣,直到媽咪終於憋不住心事,跑去問爸爸有沒有發現?兩個人才一起分享”可能”有了我的心情。
驗孕棒驗出結果後,媽媽馬上去做產檢,這時候我4周大,雖然驗孕棒複檢的確有懷孕的跡象,但是照腹部超音波時,醫生伯伯在媽媽子宮裡卻還看不到我,一方面是因為我還很小,另一方面也擔心子宮外孕的可能性,所以請媽咪耐心等待我的長大。5周了,在子宮裡還是看不到,媽媽開始有點緊張;近6周大時,腹部超音波終於確認我在子宮裡順利著床長大,這時候只有0.5cm。確認我在媽媽肚子裡安全的待著,爸爸媽媽鬆了一口氣也很感動,兩周來的擔心終於卸下,並陸續將懷孕的消息告訴了家人們。之後醫生伯伯推估預產期應該會是10月23日;這樣反推起來,是參加完仔仔爸比媽咪的婚禮後,才有了我的存在阿~
![]()
確定了我的存在,爸爸媽媽鬆了一口氣,一起去吃了大餐 :>
![]()
跟家人報告這個好消息後,大家一起去苗栗採草莓!好大顆喔~
![]()
前陣子,媽咪不小心作了個仰臥起坐,腹部一用力,造成輕微的出血,所以開始多臥床休息。3月份的日本北海道之旅即將來臨,媽媽很擔心我們倆沒有辦法跟著爸爸、阿嬤跟朋友們一起去北海道走走,更沒機會去看親愛的安貞姨,所以格外小心地保養我們倆的身體,所幸後來都沒有再發生類似的情況。三月初我們順利出發前往日本東京去看安貞阿姨,再往北海道賞鳥、賞流冰、賞雪、泡溫泉,旅途中玩得非常愉快,除了少數坐船跟要走的行程,媽媽跟我在定點休息等待,其他好吃、好玩的都有參與到。北海道冬季的氣溫真的超級冷的!但是也因此造就了美麗的雪與流冰的景象,媽媽說的:丹頂鶴在雪地上婀娜多姿的舞蹈,爸爸拍的毛腿魚鴞在細細雪雨中站立枝頭,等我長大了,希望也能親眼目睹此情此景啊!不過回程居然給我們遇上了日本東北大地震,幸好有驚無險地,大家都平安回到家。
安貞阿姨還特別指著媽咪的肚子,要告訴大家我在這裡喔!![]()
在釧路溼原遼望台我們與安貞姨合影,就在這時發生了驚天動地的東北大地震,遠在北海道廣闊的濕原上也感覺到了劇烈的上下搖晃。
![]()
懷了我之後,為了我的膚色著想,媽媽開始吃原本不喜歡的蘋果跟豆漿,少喝茶,檸檬水取代,心愛的咖啡更是完全禁口;期待我頭好壯壯,積極攝取優質蛋白質,多吃魚肉跟青菜,使我擁有健康長大的能量。
100/3/14從日本回台後的我,已經有八周大,這次去照超音波,已經可以看到心臟撲通撲通跳動的樣子!我很健康~
![]()
100/4/9:
12周大,已經可以在媽媽肚子裡看到我長成人形的樣子,有頭有手有腳~
![]()
接著這周我們還去做了頸部透明帶的篩檢,此時的我身長6.1公分,雙手、雙腳、手指骨都可以看見,小手在羊水中不停的揮動著,腳則是交叉盤腿、伸直、彎曲等姿勢都有,變來變去的~下次再去看醫生伯伯,就可以知道頸部透明帶篩檢的結果了~
![]()
100/4/23:14周大,頸部透明帶的檢查結果是1.6公分,換算唐氏症機率是15960分之一,是很安全的指數。這次拍出我的照片,頭型輪廓又更加明顯、身體及手腳都看的到。
![]()
媽咪懷我4個月了,期間仔仔哥哥出生了~媽媽帶我去看他們一家
![]()
接著又參加了宸宸媽咪爸比的婚禮,100年真的好喜氣,又是婚禮又有很多小寶寶出生~我們都是小兔子~
![]()
100/5/21:18周大的我,今天的檢查可以看到我脊椎骨一節一節的很明顯,大小也符合18周的正常範圍,這次還看了性別!聽到醫生伯伯很果決的回答我是個小女生後,爸爸跟媽媽興奮的手牽手衝出診療間。也是這個時候,爸爸幫我取了”美樂蒂”的名字。
![]()
100/5/30 懷我五個月,媽媽的肚子很繃,我也持續地長大中。媽媽漸漸的可以感覺到我在肚子裡的胎動,一開始局部的、小小力的動作,在肚皮上看不出來明顯的動靜、一直到後來局部的突出,甚至劃過長長的區域….
![]()
為了藝術胎教,媽咪帶我去看莫內花園跟畢卡索的展覽,有空也多聽古典樂,對媽咪來說,都是新鮮的嘗試。
![]()
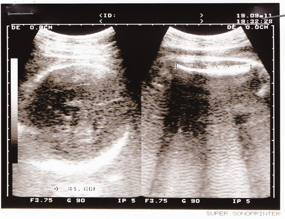
100/6/18:這時候的我已經22周了,隨著我長大,超音波漸漸沒辦法拍到我的全身,這次的照片拍的是我的大頭及脊椎骨彎曲的樣子,今天測出心跳每分鐘160次,頭圍正常,都很OK~相較於平常等待給林陳立醫生伯伯產檢的兩小時,這次只花了30分鐘就完成,非常的有效率。
![]()
100/6/20今天來到醫院是做高層次超音波,可以花二、三十分鐘慢慢地檢查各個器官生長的樣子,心臟的心房、心室都正常發育,手指頭一一數來也都齊全。頭圍正常,還估了我的體重,約有483克!活潑的我一直扭動,讓醫生阿姨很不容易觀察,要拍照時我既用手臂遮住了臉,又轉身的,所以爸爸媽媽看不到我的臉長得像誰,只露出了我的屁股。今天生殖器官也拍到了,外婆,我真的是個女孩子拉!
![]()
![]()
閒暇之餘,爸爸媽媽總是盡可能的帶著我到處走走看看,晚上看青蛙、賞花;白天去走步道、看鳥、看蝴蝶、拍照,可以呼吸到森林裡新鮮的空氣,真好~
![]()
![]()
100/7/16 這次是26周大,因為上次照超音波檢查時,沒有照到臉,這次醫生叔叔特地拍了一張側臉的照片,而且指出我的鼻子、上嘴唇的位置,沒有兔唇、心跳正常。但聽到我的大小略大幾天,讓媽媽緊張了一下(吃太多啦)。現在的胎動明顯變強了,每30分鐘可以動上30下,很活潑阿!
![]()
![]()
懷我六個月大時,上梅峰會會研究室的大朋友們
![]()
100/8/13 30周大,這時的我胎位轉正了,頭圍31周略大;媽媽因為耐糖檢查超過標準,要再複檢,現在我的胎動已經可以讓媽媽的肚子整個抖動囉~
![]()
100/8/15 30周,今天進行常規性超音波檢查,體重1500g,頭圍31周,肚圍29周大,都正常~側臉拍得好清楚啊,鼻子看起來不太高,上嘴唇跟下嘴唇張開開的。媽媽說這時候的我的手阿腳ㄚ,會在肚皮上鼓起圓圓的一球,從媽媽的肚皮滑動個5cm的距離,再逐漸消失於肚皮表面。
![]()
我八個多月了,阿嬤幫我準備了好多衣服,一字排開,很壯觀!
![]()
慶祝游子們歸國,跟研究室的阿姨叔叔們聚餐,媽媽笑得太誇張了,嘴巴張的超級大,這天從煥彰叔叔那收到了來自澳洲的無尾熊娃娃(難怪現在我知道要怎麼像隻無尾熊巴在媽媽身上),又從芃芃姨手上接到了來自日本的安產御守(後來去醫院生產的時候也有帶著去喔!)看了貞瑋阿姨的紅嘴黑鵯鳥鳥,還有消瘦了很多的昆典叔叔、很忙碌的惟仁叔叔…
![]()
懷我八個多月了,媽媽看起來很不一樣了,肚子好大,但是有空也是早起去政大走操場,希望生我的時候一切順利。
![]()
100/9/19 35周大,2450克
媽媽說:這時之後的超音波照,因為美樂蒂長大了,都是局部的畫面,有些我也看不出來是拍那個部位……
![]()
100/10/3 37周3天,2750g
這兩周長了300g,一下衝到2750克了!媽媽說我的腳超有力氣的,總是一腳踢左邊,頂到最末端,另一腳再踢肚子中間。
![]()
![]()
媽媽:10/3起,子宮宮縮明顯了!較預產期還有兩周多的時間,但走路跟站立,越來越常感到肚子緊繃成一顆籃球的感覺,難道小美樂蒂要蹦出來了嗎?!
爸爸唯一有跟的一次—政大走操場
![]()
爸爸陪媽咪去婦幼醫院產檢了,等太久而睡著了~
![]()
我快出生了~慶祝秀秀姨從南美洲旅行歸國,我們一起去看餐搖椅、吃飯。ㄟ爸爸肚子裡,怎麼好像也有個我?
![]()
![]()
阿嬤試用看看餐搖椅穩不穩
![]()
100/10/11 38周兩天,2800g
![]()
100/10/17 39周兩天,3000g
![]()
100/10/21 出生前一天的胎動
100/10/22我要出生了!媽咪在待產室陣痛中
![]()
昨天晚上開始,我想要出來了,晚上11點之後媽媽肚子開始規律的收縮,從15分鐘一次,到10分鐘一次。凌晨兩點,我們決定要去醫院,爸爸媽媽手牽手前往。護士阿姨先是留下媽咪兩個小時,躺在床上裝上儀器監測子宮收縮的頻率與強度。凌晨四點,觀察到陣痛頻率很穩定、密集,子宮頸寬度也正在打開,確定留下媽媽入院,準備迎接我的出生。接下來的時間,護士阿姨持續的觀察產道開指的寬度,醫生伯伯也來打招呼,媽媽經歷著一次又一次的陣痛,沒有大呼小叫,只是一直默默地忍耐疼痛,每一次的疼痛都是為了讓我們兩盡快可以見面。為了生產,媽媽還試了第一次的灌腸與剃毛。直到中午過後,子宮頸順利的打開到可以生產的寬度,離開媽咪肚子的時間終於到了!護士阿姨指導媽媽憋氣用力,伴隨著陣痛來臨的時機用力生產。爸爸也一起參與喊憋氣的口令,1、2、3、4…..撐個10秒用力!再用力!秀秀姨則是在一旁趁媽咪休息時擦汗按摩放鬆..舅舅也來到待產室給我們喊加油。
但是媽咪一直沒抓到用力的技巧,費了九牛二虎之力、花了兩個小時,才好不容易讓我降到產道口,媽媽跟我終於從待產室被送進產房。
產房裡冷氣好強,爬上產台後,還是要持續的隨著陣痛來臨的時機用力的產出我,但是媽咪好累好累,快要沒有力氣了,醫生伯伯來了之後,在護士阿姨直接加壓在媽媽肚子上跟真空吸取器的輔助下,醫生伯伯很快就把我接生了出來。所以我的頭,一開始有點尖尖的喔!
大近視的媽媽,躺在產檯上,看不到我,只聽見了哭聲,跟護士小姐們嘰嘰喳喳說話聊天的聲音。爸爸這時候才讓醫生伯伯從待產室請進了產房來(所以生產過程他什麼都沒看見)安撫媽媽,也一邊觀察護士小姐清理我的口鼻、身體,最後終於讓我赤裸裸地趴在媽媽身上,抱了抱。
![]()
這是我們家的第一張全家福-100年10月22日在婦幼醫院;後來外公外婆說我選了好日子出生,跟外婆同一天生日喔!力平阿伯則是說我是個準時的孩子,趕在預產期前一日出生了!爸爸原本這幾天有著堆積如山的工作,希望我晚幾天出生,卻沒能讓他如願阿:P
聽說外婆一聽到我順利生產的消息,突然緊張到連路都認不得,慌張的就載著阿姨騎著機車衝來醫院,很感動阿!不過還是可以慢慢來啦!不用擔心。
暫時,我被命名為傅淑瑋之女,3120g。
被護士阿姨清理完畢,我被送到嬰兒房囉!
媽媽這樣說:
月娘光光掛天頂 嫦娥置那住
你是阮的掌上明珠 抱著金金看
看你度晬 看你收涎 看你底學行
看你會走 看你出世 相片一大疊
輕輕聽著喘氣聲 心肝寶貝子
你是阮的幸福希望 斟酌給你晟
望你精光 望你知情 望你趕緊大
望你古錐 健康活潑 毋驚受風寒
這首歌是鳳飛飛唱的心肝寶貝,在結婚的成長MV裡,育倫選了這首歌做為介紹他成長的背景音樂,因為是台語歌曲,當時聽來很陌生,今天回頭細嚼慢嚥,字字句句都寫到父母的心坎裡。
美樂蒂出生後的這一年,日子像飛也似的經過。從抱在手裡,餵奶、換尿布的無限重複,到學會趴睡、學翻身、學爬、再進展到扶著桌椅站立、獨立站立,跟在我們背後爬爬爬…。下一步又會帶給我們多大的驚奇呢?陪伴著一個新生命長大的過程真的是充滿喜悅,美樂蒂一個燦爛的笑容跟爽朗的哈哈笑聲就可以融化我們的心,每天都有新奇的事與無窮的可能性。也是透過觀察一個生命的進展,更加了解自己成長的過程,也因此體悟及感謝爸媽的照顧與無私的付出(老爸、老媽跟親愛的婆婆,我們愛你!!)
懷孕到生產、育兒的過程,陸陸續續接收了許多親朋好友(族繁不及備載)的關心與用品,謝謝你們的分享讓我們一家人擁有滿滿的幸福(當然也省了不少荷包),祝福你們,希望大家每天都幸福、健康、快樂!


